11.11.2 Insuffisance tricuspidienne

La grande majorité des insuffisances triscuspidiennes (IT) n’est pas liée à une pathologie de la valve, mais est secondaire à une dilatation du ventricule droit et de l’anneau tricuspidien (Vidéo).


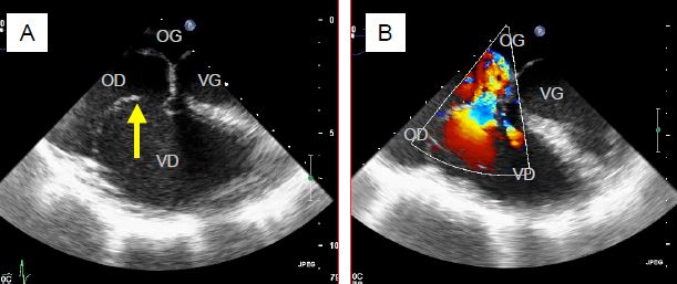
Vidéo: Insuffisance tricuspidienne modérée sur dilatation et dysfonction du VD dans le carde d'une hypertension artérielle pulmonaire.
 
  • Valvulopathie gauche on insuffisance du VG entraînant une hypertension pulmonaire postcapillaire;
  • Hypertension pulmonaire, quelle qu’en soit la cause;
  • Dysfonction du VD (surcharge de volume, cardiomyopathie, ischémie ou infarctus). 
Cette IT fonctionnelle est classée en trois degrés d'importance [11].
 
  • Degré I: dilatation modeste de l'anneau, valve tricuspide compétente ou IT mineure;
  • Degré II: dilatation importante de l'anneau et défaut de coaptation de la tricuspide; IT au moins modérée;
  • Degré III: dilatation majeure de l'anneau et du VD, insuffisance restrictive par excès de tension sur les cordages; IT sévère.
Alors que l'IM fonctionnelle est essentiellement due à la traction sur les cordages par la dilatation du VG, l'IT fonctionnelle est davantage liée à la dilatation de l'anneau [13].
 
La lésion primaire des feuillets tricuspidiens est une affection plus rare (25% des cas opérés), qui relève de nombreuses étiologies (Figure 11.153 et Figure 11.154) [1,8,12].     
 
  • Maladie d'Ebstein: les feuillets postérieur et septal sont bas-insérés et se retrouvent en position intraventriculaire; la cavité du VD est rétrécie, toute sa portion basale étant "atrialisée". Le feuillet antérieur, qui est en général normalement inséré, peut être insuffisant pour permettre l’occlusion ou redondant et basculer dans l’OD (Vidéo) ; dans les deux cas, l’IT est importante.


    Vidéo: Maladie d'Ebstein; le feuillet septal de la tricuspide est bas-inséré, le feuillet antérieur est normalement inséré et grand, mais insuffisant pour occlure la valve; l'IT majeure a provoqué une dilatation du VD par surcharge de volume.
     
  • RAA: encore fréquent dans les pays non-industrialisés, la maladie conduit à une combinaison d’insuffisance et de sténose par fusion commissurale, restriction et fibrose des feuillets et des cordages (Vidéo).


    Vidéo: Insuffisance tricuspidienne majeure dans le cadre d'une maladie tricuspidienne sur RAA; le VD est petit mais l'OD dilatée; il en est de même à gauche (sténose mitrale avec petit VG et OG dilatée).
     
  • Dégénérescence myxoïde (Barlow) et bascule de feuillet (flail leaflet): en général associée à un prolapsus mitral (Vidéos).


    Vidéo: Basculement du feuillet postérieur occasionnant une insuffisance sévère.


    Vidéo: Insuffisance tricuspidienne massive au flux couleur dans le même cas.
     
  • Fibro-élastose endomyocardique : rétraction des feuillets et des cordages, fréquente en Afrique tropicale.
  • Traumatisme: rupture de pilier ou déchirure de feuillet (Vsuppl Valves TI rupt trauma 0°1 et Vsuppl Valves TI rupt trauma 3D 50°). Lors de traumatisme thoracique, la tricuspide et la paroi libre du VD sont les parties les plus antérieures du coeur, donc les plus exposées au choc. Un traumatisme thoracique fermé est souvent rencontré dans l’anamnèse des patients présentant une IT isolée [4].
  • Endocardite: incidence particulièrement élevée chez les toxicomanes et les porteurs de cathéter implanté (pace-maker).
  • Syndrome carcinoïde : dépôts de plaques fibreuses, épaississement et restriction des feuillets (Vidéo) (voir Syndrome carcinoïde sous Principes pour l'anesthésie).


    Vidéo: Insuffisance et sténose tricuspidienne dans un syndrome carcinoïde.
     
  • Iatrogénie : une sonde de pace-maker-défibrillateur ou un cathéter artériel pulmonaire empêchent l’occlusion des feuillets et provoquent une IT bénigne.
  • Toxicité médicamenteuse: méthysergide, ergot de seigle, fenfluramine, phentermine, aminorex, benfluorex, pergolide.
 
    


Figure 11.153 : Images ETO d’insuffisance tricuspidienne (IT) de différentes étiologies. A : maladie d’Ebstein ; les feuillets septal et postérieur de la valve sont bas-insérés à l’intérieur de la cavité ventriculaire (flèches jaunes) ; leur insertion normale serait au niveau localisé par les flèches vertes. Le volume situé entre les flèches jaunes et vertes est la zone d’atrialisation du VD. Les feuillets ne se rejoignent pas en systole (double flèche rouge), ce qui génère une IT sévère. B : IT modérée-à-sévère sur RAA en vue 4-cavités 0°. C : vue 4-cavités (position en bas oesophage) d’une insuffisance tricuspidienne massive lors de syndrome carcinoïde ; les feuillets sont épaissis, restrictifs, et ne coaptent pas en systole. SC : sinus coronaire. D :  Vue identique avec le flux Doppler couleur ; la vena contracta est large (> 1 cm) ; il existe un PISA important.


   



Figure 11.154 : images ETO d’insuffisance tricuspidienne (IT) de différentes étiologies. A : rupture traumatique de cordages entraînant une bascule du feuillet antérieur. B : même cas, avec le jet massif de l’IT, dirigé vers le septum interauriculaire. C : IT sur hypertension pulmonaire ; le VD et l’OD sont dilatés. D : bascule du septum interauricuaire qui est tendu dans l’OG ; c’est souvent le premier élément qui frappe à l’écran lorsqu’on surveille le cœur en 4-cavités et que survient une défaillance droite aiguë.
 
Physiopathologie
 
Comme le coeur droit fonctionne à un régime de pression physiologiquement très bas, la valve tricuspide n’est pas construite pour être aussi étanche que la mitrale. Une insuffisance mineure est banale et ne présente aucune conséquence, car elle n’entraîne qu’un faible volume de régurgitation dans un système qui peut accommoder de larges variations de volume. Elle est présente chez près de 75% de la population à partir de 50 ans [9]. Même lorsqu’elle est plus importante, la lésion est en général bien tolérée par le VD, qui est une excellente pompe-volume. Lorsque la postcharge du VD est trop élevée (HTAP, stase gauche), l’éjection rétrograde de l’IT fonctionne comme une soupape de pression et abaisse la tension de paroi ventriculaire. Dans les cas où la fraction régurgitée est très importante (1-2% des cas), le débit antérograde pulmonaire peut diminuer. Cette situation est défavorable à la précharge du ventricule gauche pour deux raisons.
 
  • Le débit pulmonaire limité diminue le retour à l’OG; 
  • La dilatation du VD fait bomber le septum interventriculaire vers la gauche en diastole et limite le remplissage du VG: c’est l’effet Bernheim (voir Figure 11.16 et Figure 11.152).

     

Figure 11.16: Dilatation et insuffisance droites. A : bascule du septum interventriculaire dans le ventricule gauche lors de surcharge pulmonaire et/ou de défaillance ventriculaire droite (effet Bernheim). Le remplissage diastolique du VG est handicapé, et le volume systolique baisse. Le septum interauriculaire bombe dans l’oreillette gauche. B : retentissement d’une dysfonction du VG ou d’une valvulopathie gauche sur les cavités droites ; le VG et l’OG sont dilatés ; la stase gauche a entraîné une hypertension pulmonaire postcapillaire (élévation de la postcharge droite). En conséquence, le VD est hypertrophié, le VD et l’OD sont dilatés. La position du septum interauriculaire et du septum interventriculaire dépend du jeu des pressions droite et gauche en systole et en diastole. 



Figure 11.152 : Insuffisance tricuspidienne sur dilatation et dysfonction du VD. A : le VD est dilaté et hypertrophié (HVD) ; le septum interventriculaire bombe dans le VG et en restreint le remplissage diastolique. La dilatation de l’anneau tricuspidien entraîne une régurgitation (IT) ; l’OD est dilatée, le septum bombe fortement dans l’OG. L’apex du cœur est constitué par le VD et non par le VG comme normalement. L'IT est sévère (PISA sur la face ventriculaire) et un reflux systolique est présent dans la veine cave inférieure. B : vue ETO 4-cavités lors d’un épisode d’embolie pulmonaire aiguë chez un patient dont le VD est hypertrophié sur hypertension pulmonaire chronique.
 
Lorsqu’elle est importante, l’IT représente une surcharge de volume pour le VD ; ce dernier tend à se dilater, ce qui agrandit l’anneau tricuspidien et augmente l’IT. Il se crée ainsi un cercle vicieux lié à la souplesse des structures droites. La silhouette de celles-ci varie selon la durée de l’IT.
 
  • IT aiguë : dilatation modeste de l’OD et du VD, septum interauriculaire basculé et tendu dans l’OG, PVC très augmentée, onde"v" massive.
  • IT chronique : dilatation sévère de l’OD et du VD, HVD dilatative, empiètement du septum interventriculaire dans le VG, jet d’IT large à sa base, onde"v" variable car tamponnée par la dilatation de l’OD.
L’apparition ou l’amplification d’une IT est un bon marqueur de décompensation droite ou d’hypertension pulmonaire momentanée: infarctus ou défaillance du VD, embolie pulmonaire, surcharge aiguë de volume, administration de protamine après la CEC, PEEP excessive, etc. En effet, l’importance de l’IT est directement proportionnelle aux résistances artérielles pulmonaires : elle augmente lorsque les RAP augmentent. A l’ETO, c’est souvent le basculement soudain du septum interauriculaire tendu et bombé dans l’OG qui attire l’attention en premier lieu (voir ci-dessus Figure 11.154D) (Vidéo).


Vidéo: Surcharge de volume de l'OD en cas d'insuffisance tricuspidienne; l'OD est dilatée, le septum interauriculaire bombe en permanence dans l'OG.
 
Manifestations cliniques
 
La symptomatologie clinique de l’IT est liée à la stase systémique en amont et/ou à ses étiologies en aval : hypertension pulmonaire, maladie mitrale ou insuffisance du VG. L'oreillette droite étant très compliante, la pression n'y augmente que lorsque la régurgitation est massive ou soudaine. L’onde "v" devient proéminente sur la courbe de PVC ; elle est mésosystolique, alors que son pic est normalement télésystolique. Dans ce cas, la courbe de PVC ressemble à celle du VD: la descente "x" s’efface et la courbe est dominée par l’onde "v", qui est plus précoce que normalement, avec une descente "y" très ample [5]. L’importance de l’onde "v" n’est pas proportionnelle à celle de l’IT à cause de la compliance de l’OD : lorsqu’elle est dilatée, celle-ci absorbe le volume régurgité sans grande modification de pression (compliance élevée) ; l’onde est surtout visible dans les cas aigus où la compliance de l’OD est normale. Si la pression en OD devient supérieure à celle de l'OG, un shunt D - G cyanogène peut s'installer par la réouverture du foramen ovale s’il n’était pas fusionné avec le septum; ceci peut également survenir lors de manoeuvres de Valsalva ou de ventilation contrôlée avec PEEP élevée [3]. 
 
Les arythmies sont fréquentes, car elles sont liées à la dilatation de la cavité : tachy-arythmies sus-jonctionnelles (dilatation de l’OD), tachy-arythmies ventriculaires (dilatation du VD). Au status clinique, on remarque une stase veineuse systémique, des oedèmes périphériques, une hépatomégalie (type choléstéatique), de l'ascite et une pulsatilité des jugulaires. Sur la radio du thorax, on note un débord droit de la silhouette cardiaque. Une élévation du BNP > 200 pg/mL est associée à une péjoration du pronostic.
 
Echocardiographie
 
Les images échocardiographique de l’IT sont typiques (voir ci-dessus Figure 11.154). L'étendue du jet couleur est un moyen pratique de diagnostiquer la présence d’une IT et d’en évaluer grossièrement l’importance (Vidéo), mais elle n’est pas une technique adéquate pour une quantification précise, car elle dépend de la force de contraction du VD, des RAP et de la POD [7]. Les critères d’une insuffisance tricuspidienne sévère sont essentiellement échocardiographiques (Tableau 11.14) [2,6,9,15,16].


Vidéo: Insuffisance tricuspidienne modérée en vue admission-chasse du VD 60°.
 
 
  • Non-coaptation centrale des feuillets, qui sont normaux (IT secondaire) ou anormaux (bascule dans l'OD, rupture de cordage, rétraction, perforation); écart entre les feuillets > 8 mm.
  • Dilatation de l’OD (diamètre ≥ 5 cm, surface > 18 cm2); bombement du septum interauriculaire dans l’OG.
  • Dilatation du VD et de l’anneau tricuspidien (diamètre > 4.0 cm en vue 4-cavités); bascule diastolique du septum interventrriculaire dans le VG dont la silhouette en court-axe prend une forme en "D".
  • Dilatation du sinus coronaire et de la veine cave inférieure (diamètre > 2.5 cm).
  • Jet de l’IT occupant plus du tiers de l’OD ou > 10 cm2, mais le jet couleur dépend des conditions hémodynamiques et n'est pas un critère quantitatif. En cas de large orifice et de dysfonction sévère du VD, la vélocité de l'IT reste basse et le flux laminaire sans aliasing, même en cas d'insuffisance massive; on ne voit qu'un va-et-vient de sang entre l'OD et le VD (Figure 11.155). 


Figure 11.155 : Jet d'IT dans un cas de dysfonction sévère du VD. Entre la systole (A) et la diastole (B), les feuillets tricuspidiens ne bougent pratiquement pas. Le jet d'insuffisance tricuspidienne apparaît comme un flux rétrograde laminaire sans tourbillons ni aliasing (rouge-orange), parce que sa vélocités est basse vu l'impossibilité pour le VD de générer des pressions suffisantes. Le flux diastolique est normalement laminaire (bleu).
 
  • Au Doppler continu, une trace spectrale de la vélocité dense et nette de contour traduit une IT importante; un tracé de forme triangulaire avec un pic protosystolique indique que la POD est élevée (onde "v" prononcée sur la courbe de PVC). La Vmax est de 2-4 m/s, mais elle dépend de la fonction du VD et de la PAP; elle ne donne pas d'indication particulière sur l'importance du volume régurgité car elle est souvent basse dans les IT massives (Insuff VD IT).


    Vidéo: Insuffisance tricuspidienne majeure dans un cas de dysplasie arythmogène du VD; la défaillance du VD est telle que le reflux systolique est à basse vélocité et ne présente pas de tourbillon ni d'aliasing. Par contre, les feuillets de la valve laissent un large orifice de régurgitation en systole.
     
  • Flux antérograde diastolique accéléré (Vmax du flux E > 1 m/s).
  • Diamètre du jet à la vena contracta > 0.7 cm; en 3D, une surface de vena contrracta > 0.4 cm2 signe une IT sévère (Figure 11.156).

Figure 11.156 : Quantification d’une insuffisance tricuspidienne sévère. A : très large vena contracta (2.2 cm) lors d’une IT massive sur RAA (vue 4-cavités). B : planimétrie du jet couleur (11.5 cm2) et mesure du diamètre de la vena contracta (0.8 cm) en vue transgastrique (vue admission du VD 100°).
 
  • Zone de convergence proximale du flux (PISA): un rayon de 1er aliasing > 9 mm (échelle de couleur de 28 cm/s) signe une IT sévère; cette méthode est peu utilisée dans l'IT car la vélocité y est basse et la zone hémisphérique aplatie, ce qui tend à sousestimer l'importance de la régurgitation.
  • Orifice de régurgitation ≥ 0.4 cm2, volume de régurgitation ≥ 45 mL; en 3D, la surface de l'orifice de régurgitation est > 0.75 cm2. Ces valeurs ne sont pas bien établies et restent discutées.
  • Inversion de la composante systolique du flux dans la VCI et les veines sus-hépatiques, qui sont dilatées et pulsatiles; l’absence de cette inversion n’exclut pas une IT sévère (Figure 11.157). D'autre part, le flux systolique veineux est influencé par la POD, par la compliance des cavités droites, par la respiration (les mesures doivent être effectuées en apnée), et par les troubles du rythme (FA, bloc AV, pacemaker).

Figure 11.157 : Flux dans une veine sus-hépatique (ETO en position transgastrique). On remarque un reflux systolique (S), alors que le flux normal devrait être antérograde. D: flux diastolique antérograde. A: léger reflux lié à la contraction auriculaire.
 
  • Dans l'IT secondaire, distance et surface de tente > 0.75 cm et > 1.6 cm2, respectivement.
En 3D, l'acquisition en full-volume permet une reconstruction de la valve par découpe (cropping) du volume enregistré dans une vue en-face comme si elle était examinée depuis l'oreillette. Par convention, on l'oriente avec le feuillet septal à 6 heures, le feuillet antérieur à 11 heures et le feuillet postérieur à 3 heures, ce qui correspond à la vue qu'en a le chirurgien lorsqu'il ouvre l'OD. Cette représentation est très utile pour la localisation des pathologies (prolapsus, rupture de cordage) et de l'origine du jet d'insuffisance; elle permet également la planimétrie de la valve et de l'orfice de régurgitation [10]. Comme la mesure de la surface de la vena contracta en 3D n'est pas tributaire de présupposés géométriques, la valeur retenue pour définir une IT sévère est sensiblement plus grande qu'en 2D (0.75 cm2 au lieu de 0.4 cm2) [9].
 
Calcul de la PAP 
 
La présence d’une IT permet de calculer la PAP systolique par le truchement de l’équation simplifiée de Bernoulli (voir Calculs hémodynamiques, Equation de Bernoulli). Cette équation stipule que le gradient de pression entre deux cavités est égal à 4 fois le carré de la vélocité maximale du flux sanguin entre ces deux cavités: ΔP = 4 (Vmax)2. En systole, la Vmax de l'IT est fonction du ΔP entre le VD et l'OD. En l'absence de pathologie sur la valve pulmonaire (rarissime chez l'adulte), la pression pulmonaire systolique (PAPs) est donc la somme du ΔP VD - OD et de la pression moyenne de l'OD (Figure 11.158). 
 
            PAPs  =  (4 • V2IT)  +  POD
 

Figure 11.158 : Calcul de la pression artérielle pulmonaire systolique (PAPs) par la vélocité du flux de l'insuffisance tricuspidienne. L'équation de Bernouilli simplifiée stipule que le gradient de pression entre deux cavités est égal à 4 fois le carré de la vélocité maximale du flux sanguin entre ces deux cavités: ΔP  =  4 (Vmax)2. En systole, l'IT est fonction du ΔP entre le VD et l'OD. La PAPs est donc la somme du ΔP VD - OD et de la pression moyenne de l'OD. Celle-ci est estimée par le degré de collapsibilité des veines caves ; les valeurs utilisées sont 5 mmHg en hypovolémie, 10 mmHg en normovolémie et 15 mmHg en hypervolémie. Dans ce cas, la Vmax de l’IT est 2.5 m/s (flèche jaune) sur l’affichage du Doppler spectral ; on estime la POD à 10 mmHg ; le calcul donne une PAPsyst de 35 mmHg.
 
La POD est mesurée par la PVC ou estimée par le degré de collapsibilité de la veine cave inférieure: en hypovolémie, les variations respiratoires du diamètre de la VCI (mesuré en mode TM par voie transgastrique ou sous-xyphoïdienne) sont excessives lorsque le malade est hypovolémique.
 
  • En ETO et sous ventilation contrôlée, une variation de diamètre > 20% entre l'inspirium et l'expirium signe l'hypovolémie;
  • En ETT et en respiration spontanée, le seuil pour une hypovolémie est une variation respiratoire > 50%.
  • En hypervolémie, la VCI est dilatée (diamètre > 2.5 cm) et ne pulse pas.
Les valeurs de pression correspondantes sont 5 mmHg en hypovolémie, 10 mmHg en normovolémie et 12-15 mmHg en hypervolémie. La corrélation de cette technique de calcul de la PAPsyst avec la valeur réelle mesurée par cathétérisme n'est en moyenne que de 0.7 [7]. La présence d'une IT altère la lecture du débit cardiaque par thermodilution au moyen d'un cathéter pulmonaire de Swan-Ganz: la thermodilution sous-estime le débit réel en cas d’insuffisance majeure primaire, mais le surestime lorsque l’IT est due à une défaillance droite [14].
 
 
Caractéristiques de l’insuffisance tricuspidienne
Surcharge de volume du VD (bien tolérée)
IT augmente si RAP augmentent
Faible tolérance du VD dilaté à une augmentation de postcharge
Stase systémique
Si l’IT est secondaire à une HTAP ou à une pathologie gauche, celles-ci dominent l’hémodynamique
 
IT primaire (25% des cas) : maladie organique des feuillets
IT secondaire (75% des cas) : due à dysfonction VD, HTAP, valvulopathie gauche, dysfonction VG
 
Critères de l’IT sévère :
    - Stase systémique
    - PVC ↑ (onde v ↑)
    - Dilatation de l’OD et du VD, diamètre anneau tricuspidien > 3.5 cm
    - Bombement du septum interauriculaire dans l’OG
    - Large jet d’IT (diamètre vena contracta > 0.7 cm)
    - Orifice de régurgitation ≥ 0.4 cm2, volume régurgité > 45 mL



© CHASSOT PG, BETTEX D, Août 2011, dernière mise à jour Novembre 2019
 
 
Références
 
  1. BRUCE CJ, CONNOLLY HM. Right-sided valve disease deserves a little more respect. Circulation 2009; 119:2726-34
  2. CHERRY SV, JAIN P, RODRIGUEZ-BLANCO YF, FABBRO M. Noninvasive evaluation of native valvular regurgitation: a review of the 2017 American Society of Echocardiography Guidelines for the perioperative echocardiographer. J Cardiothorac Vasc Anesth 2018; 32:811-22
  3. CUJEC B, POLASEK P, MAYERS I, et al. Positive end-expiratory pressure increases the right-to-left shunt in mechanically ventilated patients with patent foramen ovale. Ann Intern Med 1993; 119(9):887-94
  4. GAYET P, PIERRE B, DELAHAYE JP. Traumatic tricuspid insufficiency: An underdiagnosed disease. Chest 1987; 92:429-35
  5. GROSSMAN W, ed. Cardiac catheterization and angiography. 3rd edition. Philadelphia, Lea and Febiger, 1986, 378
  6. HAHN RT. State-of-the-art review of echocardiographic imaging in the evaluation and treatment of functional tricuspid regurgitation. Circ Cardiovasc Imaging 2016; 9:e005332
  7. JANDA S, SHAHIIDI N, GIN K, et al. Diagnostic accuracy of echocardiography for pulmonary hypertension: a systematic review and meta-analysis. Heart 2011; 97:612-22
  8. KIM JB, SPEVACK DM, TUNICK PA, et al. The effect of transvenous pacemaker and implantable cardioverter defibrillator lead placement on tricuspid valve function: an observational study. J Am Soc Echocardiogr 2008; 21:284-7
  9. LANCELLOTTI P, TRIBOUILLOY C, HAGENDORFF A, et al. Recommendations for the echocardiographic assessment of native valvular regurugitation: an executive summary from the EACI. Eur Heart J Cardiovasc Imaging 2013; 14:611-44
  10. LANG RM, BADANO LP, TSANG W, et al. EAE/ASE recommendations for image acquisition and display using three-dimensional echocardiography. Eur Heart J Cardiovasc Imaging 2012; 13:1-46
  11. RAJA SG, DREYFUS GD. Basis for intervention on functional tricuspid regurgitation. Semin Thorac Cardiovasc Surg 2010; 22:79-83
  12. ROGERS JH, BOLLING SF. The tricuspid valve. Current perspective and evolving management of tricuspid regurgitation. Circulation 2009; 119:2718-25
  13. TARAMASSO M, VANERMEN H, MAISANO F,et al. The growing clinical importance of secondary tricuspid regurgitation. J Am Coll Cardiol 2012; 59:703-10
  14. THUNBERG CA, GAITAN BD, GREWAL A, et al. Pulmonary hypertension in patients undergoing cardiac surgery: Pathophysiology, perioperative management, and outcomes. J Cardiothorac Vasc Anesth 2013; 27:551.72
  15. TRIBOUILLOY C, ENRIQUEZ-SARANO M, BAILEY MR, et al. Quantification of tricuspid regurgitation by measuring the width of the vena contracta with Doppler color flow imaging: a clinical study. J Am Coll Cardiol 2000; 36:472-8
  16. ZOGHBI WA, ADAMS D, BONOW RO, et al. Recommendations for noninvasive evaluation of native valvular regurgitation: a report from the ASE developed in collaboration with the SCMR. J Am Soc Echocardiogr 2017; 30:303-71