L'échocardiographie est un examen très performant en cas de traumatisme thoracique; il est réalisable au déchocage sans avoir à déplacer le patient. Il met en évidence l'épanchement et les caillots intrapéricardiques, les altérations de la cinétique segmentaire d'un ventricule, les lésions valvulaires et le pneumopéricarde; il peut déceler des irrégularités locales de l'échogénicité myocardique (contusion, hématome) [10]. Après traumatisme fermé, environ 25% des patients avec un écho pathologique développent des complications nécessitant un traitement spécifique, alors que seuls 1-2% de ceux qui ont un écho normal conservent des séquelles [5]. Il est évident que la voie transoesophagienne (ETO) offre des images de bien meilleure qualité que la voie transthoracique (ETT), surtout en présence de lésions pariétales thoraciques, de pansements et de drains. La sensibilité et la spécificité de l'ETO (95%) sont supérieures à celles de l'ETT (50-70%) [3]. Toutefois, l'ETO demande une sédation, et est formellement contre-indiquée en cas de lésion de la colonne cervicale ou du larynx (voir Chapitre 25, ETO au déchocage).
Même en urgence au déchocage, l'examen ETO doit être aussi complet que possible. Il s'agit de pratiquer un examen global rapide qui, avec l’entraînement, prend moins de trois minutes. Il est basé sur une visualisation des quatre chambres et de l'aorte en une douzaine de vues prises dans différents plans, centrées sur trois positions de la sonde (voir Chapitre 25, Examen rapide) [11].
Même en urgence au déchocage, l'examen ETO doit être aussi complet que possible. Il s'agit de pratiquer un examen global rapide qui, avec l’entraînement, prend moins de trois minutes. Il est basé sur une visualisation des quatre chambres et de l'aorte en une douzaine de vues prises dans différents plans, centrées sur trois positions de la sonde (voir Chapitre 25, Examen rapide) [11].
- Position rétrocardiaque mi-oesophagienne;
- Position à la base du coeur, environ 5 cm plus haut que la pécédente;
- Position transgastrique rétrofléchie.
Dans chacune des positions, on réalise quatre vues sous différents angles du capteur. Les valves mitrale, aortique et tricuspide sont examinées à la recherche d'insuffisance. L'examen cardiaque est complété par une vue de l'aorte thoracique descendante et des plèvres. Après l’observation anatomique, on procède à l’évaluation fonctionnelle des ventricules, à la recherche de valvulopathie avec le Doppler couleur et à la détection d’altérations de la cinétique segmentaire. Le péricarde est exploré dans les trois positions. Ces douze vues permettent de faire un tour suffisamment complet des structures cardiaques et des principaux flux pour qu’aucune pathologie significative n’échappe à l’examen. A partir de cette vue d’ensemble, on se focalise ensuite sur des lésions particulières en fonction de la situation clinique.
Traumatisme fermé
Les traumatismes venant en général de l'avant (décélération brutale, agression), les structures antérieures sont les plus exposées: ventricule droit, valve tricuspide, oreillette droite, insertion des veines caves. Le ventricule gauche est aussi fréquemment lésé, car il est la plus grande masse de tissu myocardique [7]. Le moment le plus dangereux pour la décélération est celui où la cavité est remplie de sang, car son énergie cinétique est maximale: en diastole pour les ventricules et en systole pour l’aorte. Une lésion cardiaque survient dans 2-3% des traumatismes thoraciques, avec une mortalité globale de 13.9% [4]. Toutes les structures cardiaques peuvent être touchées, et entraîner des complications requérant un traitement spécifique (voir Chapitre 17, Traumatisme cardio-thoracique) [1,4].
Traumatisme fermé
Les traumatismes venant en général de l'avant (décélération brutale, agression), les structures antérieures sont les plus exposées: ventricule droit, valve tricuspide, oreillette droite, insertion des veines caves. Le ventricule gauche est aussi fréquemment lésé, car il est la plus grande masse de tissu myocardique [7]. Le moment le plus dangereux pour la décélération est celui où la cavité est remplie de sang, car son énergie cinétique est maximale: en diastole pour les ventricules et en systole pour l’aorte. Une lésion cardiaque survient dans 2-3% des traumatismes thoraciques, avec une mortalité globale de 13.9% [4]. Toutes les structures cardiaques peuvent être touchées, et entraîner des complications requérant un traitement spécifique (voir Chapitre 17, Traumatisme cardio-thoracique) [1,4].
- Contusion cardiaque: histologiquement, le myocarde contus est similaire au myocarde infarci; il cicatrise et se fibrose de la même manière. La paroi antérieure du VD est la plus souvent touchée. L’image ETO est peu spécifique: altération de la cinétique segmentaire, hyperéchogénicité locale, réaction péricardique. En l'absence d'ACS et de manifestation sur l'ECG, c'est souvent un diagnostic de présomption lié à une élévation des enzymes cardiaques [8]. La contusion est présente dans environ 35% des traumatismes thoraciques, et fait courir un risque de troubles du rythme, de rupture pariétale ou d’évolution anévrysmale [6]. Par ailleurs, la dysfonction ventriculaire causée par la contusion myocardique se résout en quelques semaines [2].
- Rupture cardiaque: c'est la lésion la plus fréquente à l'autopsie, car la mortalité sur le site est de 75%; celle-ci reste de plus de 50% chez les patients qui présentent encore des signes vitaux au déchocage [1,9].
- Hémopéricarde et tamponnade (30% des cas): toute déchirure d'une structure cardiaque y conduit. Les origines les plus fréquentes sont une rupture de la paroi libre du VD ou de la racine de l’aorte, et une désinsertion d’une veine cave ou d’une veine pulmonaire. Le diagnostic est suspecté en présence d'une tachycardie et d'une hypotension à pression de remplissage haute (distension jugulaire, PVC élevée), mais ce dernier point est facilement absent en cas d’hypovolémie ou de compression isolée par un thrombus. Le diagnostic est établi par l'échocardiographie. En urgence, le drainage de 50 mL de sang suffisent à décomprimer le cœur dans la mesure où le sang est encore liquide, mais les tamponnades traumatiques contiennent souvent des caillots et de la fibrine qui cloisonnent l'épanchement (Figure 27.204). L’ETO est très utile pour guider la péricardiocentèse et contrôler l’évacuation du liquide.
- Le pneumopéricarde signe une lacération péricardique et peut se mettre sous tension, provoquant un effet tamponnade aigu (Figure 27.205).
- Hémothorax : la plèvre gauche est bien visible à gauche et en avant de l’aorte descendante.
- Rupture aortique (10% des cas): voir Traumatisme aortique.
- Lésions valvulaires (1-2% des cas):
- Insuffisance tricuspidienne (IT): rupture de cordage ou déchirure de feuillet, souvent découverte ultérieurement. Elle ne réclame pas d'intervention en urgence si elle est isolée car elle est bien tolérée, mais une reconstruction secondaire par plastie et anneau prosthétique est nécessaire si l’IT est de degré > modérée afin de protéger le VD de la dilatation (Figure 27.206) (voir Chapitre 11 Insuffisance tricuspidienne) [12].
- Insuffisance mitrale (IM): elle est beaucoup moins bien tolérée, et demande une correction chirurgicale rapide si elle est sévère (plastie ou remplacement); elle est également associée à des traumatismes plus violents pour déchirer des structures postérieures.
- Insuffisance aortique (IA): caractérisée par une pression artérielle diastolique effondrée et encore moins bien tolérée que l'IM, l'IA est souvent associée à une déchirure traumatique de la racine de l'aorte; c'est une indication à opérer en urgence si elle est sévère (le plus souvent remplacement valvulaire).
- La communication interventriculaire, la rupture cardiaque et les lésions coronariennes sont peu fréquentes dans le traumatisme fermé (< 2% des cas) ; elles sont plus souvent la conséquence de traumatismes ouverts.
Figure 27.204 : Images échocardiographiques de tamponnade traumatique. A: épanchement liquidien circonférentiel. Ep : épanchement. B: épanchement hémorragique avec un caillot (flèche) lors d’une lésion traumatique de la paroi libre du VD.
Figure 27.205 : Pneumopéricarde (flèche) lors d'un traumatisme thoracique. L'air apparaît à l'échocardiographie sous forme de lame brillante très échogène sur la face antérieure du coeur.
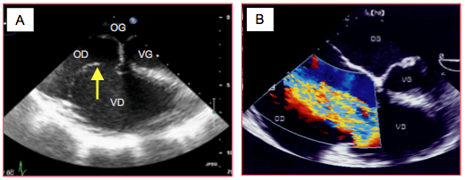
Figure 27.206 : Insuffisance tricuspidienne massive par rupture traumatique de cordage de la valve, avec dilatation de l'OD et du VD. A : bascule du feuillet antérieur (flèche) entraîné par la rupture de cordage. B : insuffisance tricuspidienne massive au Doppler couleur (IT).
Traumatisme ouvert
Les traumatismes pénétrants résultent le plus souvent d’une plaie par arme à feu ou par arme blanche, exceptionnellement d’une fracture de côte. Beaucoup de blessés ne parviennent jamais à l’hôpital parce que l’hémorragie est profuse ou les chambres cardiaques délabrées [9]. Le tableau est dominée par la tamponnade, par l’hémorragie intrathoracique et/ou par la dysfonction ventriculaire.
La communication interventriculaire (CIV) est due en général à une plaie perforante, elle se diagnostique à l'échocardiographie par une surcharge du VD, un flux au travers du septum, des turbulences diastoliques dans la cavité du VD, et une zone d'accélération concentrique (PISA) du côté du VG. Elle est visible en vue 4-cavités 0-20°, en vue 2-cavités 90° avec rotation horaire de la sonde pour mettre en évidence la partie haute du septum entre les deux chambres de chasse, et en vue transgastrique court-axe 0° en parcourant le coeur de l’apex à la base.
La coronaire la plus exposée aux traumatismes perforant est l'IVA; la lésion peut entraîner une tamponnade ou un infarctus. A long terme, il peut se développer une fistule avec une oreillette ou un ventricule, caractérisée par un shunt (flux tourbillonnaire), une dilatation de la cavité de réception, une surcharge de volume du VG, un vol coronarien, et un risque d'endocardite.
| ETO et traumatisme thoracique |
Même en urgence au déchocage, l'examen doit être aussi complet qu possible; toutes les structures doivent être visualisées. Recherche particulière: - Contusion cardiaque (ACS, hyperéchogénicité) - Insuffisance tricuspidienne, mitrale et aortique - Rupture de l’aorte (racine aortique, isthme) - Hémopéricarde, tamponnade - Hémothorax (plèvre gauche) Contre-indication à l’ETO: lésion instable de la colonne cervicale, lésion du cou et de l’oesophage |
© CHASSOT PG, BETTEX D. Novembre 2011, Août 2019; dernière mise à jour, Mars 2020
Références
- BAUM VC. The patient with cardiac trauma. J Cardiothorac Vasc Anesth 2000; 14:71-81
- FRAZEE RC, MUCHA P, FARNELL MB, MILLER FA. Objective evaluation of blunt cardiac trauma. J Trauma 1999; 26:510-19
- GOLDSTEIN SA, EVANGELISTA A, ABBARA S, et al. Multimodality imaging of diseases of the thoracic aorta in adults: from the American Society of Echocardiography and the European Association of Cardiovascular Imaging: endorsed by the Society of Cardiovascular Computed Tomography and Society for Cradiovascular Magnetic Resonance. J Am Soc Echocardiogr 2015; 28:119-82
- HANSCHEN M, KANZ KG, KIRCHHOFF C, et al. Blunt cardiac injury in the severely injured – A retrospective multicentre study. PLoS ONE 2015; 10:e0131362
- KARALIS DG, VICTOR MF, DAVIS GA, et al. The role of echocardiography in blunt chest trauma: A transthoracic and transesophageal echocardiographic study. J Trauma 1994; 36:53-8
- LANGANAY T, TAURAN A, VOLA M, et al. Les lésions cardiaques traumatiques. ITBM-RBM 2005; 26:S35-S43
- MATTOX KL, FLINT LM, CARRICO CJ, et al. Blunt cardiac injury. J Trauma 2002; 33:649-50
- ORLIAGUET G, FERJANI M, RIOU B. The heart in blunt trauma. Anesthesiology 2001; 95:544-8
- ORLIAGUET G, RIOU B. Lésions traumatiques du coeur. Paris: Elsevier et SFAR 2002; 71-86
- PANDIAN NG, SKORTON DJ, DOTY DB, KERBER RE. Immediate diagnosis of acute myocardial contusion by two-dimensional echocardiography: Studies in a model of canine blunt chest trauma. J Am Coll Cardiol 1983; 2:488-96
- REEVES ST, FINLEY AC, SKUBAS NJ, et al. Basic perioperative transesophageal echocardiography examination: A consensus statement of the American Society of Echocardiography and the Society of Cardiovascular Anesthesiologists. J Am Soc Echocardiogr 2013; 26:443-56
- ZHANG Z, YIN K, DONG L, et al. Surgical management of traumatic tricuspid insufficiency. J Card Surg 2017; 32:342-6