27.6.4 Tumeurs

Les tumeurs cardiaques sont rares: leur incidence est de 0.002-0.2% de la population; les trois quarts sont bénignes [2]. Parmi les lésions malignes, les métastases sont plus fréquentes que les tumeurs primaires. Les tumeurs sont caractérisées par leur localisation, leurs dimensions, leur texture, leur point d’attache et leur degré de mobilité. Il en existe plusieurs types anatomo-pathologiques [9]. 
 
  • Myxome; c'est la tumeur la plus fréquente (70% des tumeurs bénignes), localisée à l’OG dans 75% des cas et à l'OD dans 20% des cas [5]. Elle se présente comme une masse polypoïde et inhomogène de 4 à 8 cm, pédonculée ou sessile, avec des zones hémorragiques, nécrotiques, cystiques ou calcifiées. Elle est implantatée le plus souvent sur le bord de la fosse ovale, parfois sur la face auriculaire de la valve mitrale ou tricuspide (Vidéos). Elle peut causer des arythmies, emboliser (30% des cas) ou obstruer le flux atrio-ventriculaire en basculant à chaque diastole à travers la valve auriculo-ventriculaire. On doit rechercher systématiquement la base d’implantation, car sa position détermine l’abord chirurgical (Figure 27.86) [8]. La tumeur peut parfois remplir toute l'oreillette (Vidéo).
  • Fibro-élastome; cette petite tumeur montée sur une tige mobile (< 20 mm) représente 10% des tumeurs bénignes, mais elle est dangereuse car très emboligène; elle est située le plus souvent sur une valvule aortique, (Vidéos), mais peut aussi apparaître sur les autres valves. Le diagnostic différentiel est souvent difficile avec une excroissance de Lambl ou une végétation (Figure 27.87) [3,4].
  • Rhabdomyome et fibrome; ce sont des tumeurs rencontrées chez l'enfant. La première est souvent multiple et régresse en général spontanément. Elles se présentent comme des masses intramyocardiques de 1-10 cm, localisées dans une paroi libre ou dans le septum.
  • Kyste; un kyste peut se présenter comme une malformation péricardique sans signification clinique, ou comme un kyste hydatique (équinocoque) développé sur une paroi myocardique. Bien qu'asymptomatique la plupart du temps, le deuxième doit être réséqué à cause du risque de rupture. Les kystes se présentent comme des masses vacuolisées ou comme des capsules de liquide ne communiquant pas avec le flux de la cavité cardiaque. Il est parfois difficile de les différencier au sein des trabéculations; un test aux microbulles permet de mieux définir leur silhouette (Vidéos) (Figure 27.88) [1].
  • Lipomatose septale; cette infiltration graisseuse très échogène du septum interauriculaire prend une allure en sablier, car l’envahissement lipidique ne concerne que le septum musculaire et épargne la membrane de la fosse ovale. Bien qu'impressionnante à l'image (> 2 cm), elle est sans signification pathologique (voir Figure 25.155). D'autres accumulations lipidiques encapsulées forment des lipomes sans conséquences [7].
  • Tumeurs malignes; ce sont pour la plupart des sarcomes (angiosarcome, rhabdomyosarcome, liposarcome) qui se présentent comme une masse échogène intramyocardique irrégulière et envahissante. (Vidéo) (Figure 27.89) [6]. 
  • Métastases; elles proviennent essentiellement de sarcome, de mélanome, de lymphome de Hodgkin  et de carcinome bronchique ou mammaire. La plupart du temps silencieuses, elles peuvent provoquer une tamponnade. Elles sont plus fréquentes dans le cœur doit. Outre des métastases cardiaques, les carcinoïdes peuvent infiltrer l’endocarde du coeur droit, de la valve tricuspide et de la valve pulmonaire; les valves deviennent fixes en position intermédiaire (sténose et insuffisance) et le myocarde développe une cadiomyopathie restrictive.
  • Néoplasmes thoraciques : une tumeur pulmonaire ou médiastinale peut comprimer ou envahir des structures cardiaques. Si ces dernières restent mobiles au contact de la tumeur, il existe probablement un plan de clivage chirurgical entre la masse et la cavité cardiaque concernée (Figure 27.90). 
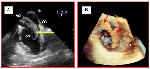
  • Extension intravasculaire de tumeur rénale ou hépatique dans la VCI et jusque dans l’OD (Vidéos) (Figure 27.91).


    Vidéo: myxome de l'oreillette gauche; cette image ne permet pas de définir le point d'ancrage de la tumeur.


    Vidéo: myxome de l'OG fixé au niveau de la partie membraneuse du septum interauriculaire.


    Vidéo: myxome fixé sur le coprs du feuillet mitral antérieur.


    Vidéo: comme il obstrue l'orifice mitral en diastole, ce myxome présente une symptomatologie et une hémodynamique de sténose mitrale.


    Vidéo: gigantesque myxome emplissant toute la cavité de l'OG.


    Vidéo: vue 5-cavités d'un fibro-élastome de la valve aortique.


    Vidéo: vue court-axe du même fibro-élastome de la valve aortique.


    Vidéo: kyste sur la paroi libre du VD.


    Vidéo: le remplissage de la cavité ventriculaire droite par des microbulles permet une meilleure délimitation de la lésion kystique.


    Vidéo: rhabdomyosarcome remplissant en grande partie le VG chez un enfant.


    Vidéo: masses mobiles situées dans l'oreillette droite, d'origine indéterminable dans cette vue 4-cavités centrée sur l'OD.


    Vidéo: en vue bicave modifiée, ces masses font partie d'une longue tumeur provenant de la veine cave inférieure; il s'agit de l'extension intravasculaire d'un hypernéphrome.


    Vidéo: reconstruction 3D du même cas que précédemment.
     

Figure 27.86 : Myxome. A: volumineux myxome de l’oreillette gauche, implanté sur la base du feuillet antérieur de la mitrale (flèche). B: en diastole, il prolabe entre les feuillets mitraux et en rétrécit le flux comme une sténose mitrale. C: myxome suspendu à la partie supérieure du septum interauriculaire en reconstrcution tridimensionnelle.
 

Figure 27.87 : Fibroélastome de la valve aortique en vue court-axe (A) et long-axe (B). C: image 3D de fibroélastome aortique en systole et en diastole.
 

Figure 27.88 : Kyste. A: kyste sur la paroi libre du VD. B: test aux microbulles soulignant la silhouette du kyste. C: kyste hydatique du VD quasi-invisible en vue 4-cavités. D: en vue transgastrique admission-chasse du VD 70°, on voit clairement la masse du kyste hydatique à l'apex du VD. La petite structure ronde dans la cavité du VD est une bande modératrice coupée en court-axe.
 

Figure 25.155 : Lipomatose auriculaire. A: lipomatose septale; les deux parties musculaires du septum interauriculaire sont envahie de graisse très échogène (flèches rouges), alors que la partie membraneuse (membrane de la fosse ovale, flèche jaune) en est dépourvue. B: graisse épicardique dans le sillon auriculo-ventriculaire droit (flèche bleue). LS: lipomatose septale. 
 
Figure 27.89 : Tumeur maligne. Exemple d'un rhabdomyosarcome envahissant la cavité du ventricule gauche en vue 2-cavités (A) et court-axe transgastrique (B). La masse est irrégulière, grumeleuse et envahissante. MPP: muscle papillaire postérieur.
 

Figure 27.90 : Exemples d'envahissement tumoral des structures cardiovasculaires thoraciques. A: néoplasme pulmonaire envahissant la veine cave supérieure (VCS), l'OD et l’artère pulmonaire droite (AP). B: tumeur postérieure envahissant l'aorte descendante. Dans les deux cas, il n'existe aucun plan de clivage entre la tumeur et les structures.
 

Figure 27.91 : Envahissement de la VCI et de l'OD par un hypernéphrome en vue bi-cave modifiée (A) et en reconstruction 3D (B). 
 
Il est parfois difficile de faire le diagnostic différentiel entre une tumeur et un thrombus ou une endocardite. Le contexte clinique et la fonction ventriculaire permettent en général de faire la différence. Certaines variantes anatomiques, comme l'excroissance de Lambl ou les filaments de fibrine (fibrin strands), miment des lésions pathologiques et demandent beaucoup de perspicacité. L'échocardiographie n'est pas un examen histologique (voir Chapitre 25 Images artéfactuelles). Elle démontre la présence d'une masse et peut assez bien pronostiquer sa nature, mais elle ne peut en aucune manière affirmer un diagnostic anatomopathologique. Après résection chirurgicale, l’examen échocardiographique doit rechercher quelques points importants : masse résiduelle, perforation de structure cardiaque (CIA), insuffisance valvulaire, etc.
 
 
Tumeurs cardiaques
Multiples étiologies: myxome, fibroélastome, kyste, lipomatose et lipome (tumeurs bénignes).
Tumeurs malignes: sarcomes, métastases, envahissement d'une tumeur médiastinale ou pulmonaire. 
Diagnostic différentiel: thrombus, endocardite, anomalie anatomique sans signification.

© CHASSOT PG, BETTEX D. Novembre 2011, Août 2019; dernière mise à jour, Mars 2020
 

Références
 
  1. ANTONINI-CANTERIN F, PIAZZA R, ASCIONE L, et al. Value of transesophageal echocardiography in the diagnosis of compressive, atypically located pericardial cysts. J Am Soc Echocardiogr 2002; 15:192-4
  2. BUTANY J, NAIR V, NASEEMUDDIN A, et al. Cardiac tumours: diagnosis and management. Lancet Oncol 2005; 6:219-28
  3. GOWDA RM, KHAN IA; NAIR CK; et al. Cardiac papillary fibroelastoma: a comprehensive analysis of 752 cases. Am Heart J 2003; 146:404-10
  4. LEITMAN M, TYOMKIN V, PELEG E, et al. Clinical significance and prevalence of valvular strands during routine echo examinations. Eur Heart J Cardiovasc Imaging 2014; 15:1226-30
  5. MAHDHAOUI A, BOURAOUI H, AMINE MM, et al. The transesophageal echocardiographic diagnosis of left atrial myxoma simulating a left atrial thrombus in the setting of mitral stenosis. Echocardiography 2004; 21:333-6
  6. NERAGI-MIANDOAB S, KIM J, VLAHAKES GJ. Malignant tunours of the heart: a review of tumour type, diagnosis and therapy. Clin Oncol 2007; 19:748-56
  7. O'CONNOR S, RECAVARREN R, NICHOLS LC, et al. Lipomatous hypertrophy of the interatrial septum: an overview. Arch Pathol Lab Med 2006; 130:397-9
  8. TOLSTRUP K, SHIOTA T, GURUDEVAN S; et al. Left atrial myxomas: correlation of two-dimensional and live three-dimensional transesophageal echocardiography with the clinical and pathologic findings. J Am Soc Echocardiogr 2011; 24:618-24
  9. YUAN SM, SHINFELD A, LAVEE J, et al. Imaging morphology of cardiac tumours. Cardiol J 2009; 16:26-35