Une insuffisance organique sévère symptomatique est une indication chirurgicale. Mais dans 75% des cas, la thérapeutique de l’insuffisance tricuspidienne est d’abord celle de la défaillance droite (voir Tableau 12.6), de l’hypertension pulmonaire (voir Tableau 12.11), et des pathologies gauches. Bien que l’on ait longtemps considéré que ce traitement suffise à diminuer la régurgitation à des valeurs sans signification clinique, il s’est avéré que la persistence d’une IT significative après chirurgie mitrale ou aortique et après pontages aorto-coronariens péjore considérablement le pronostic, même si le patient est asymptomatique [7,18,22,23]; la mortalité à long terme de la chirurgie du cœur gauche est significativement augmentée en présence d'IT modérée à sévère (HR 2.4-3.1) [20]. De plus, cette IT tend à s’aggraver dans les 3 ans qui suivent et à péjorer du même coup la dysfonction du VD [10,11,18]. Comme la correction de l'IT modérée à sévère "en passant" efface la fuite dans 85% des cas et n'augmente guère la morbi-mortalité de l'intervention sur le cœur gauche, l’attitude chirurgicale est donc devenue plus interventioniste ces dernières années, car la fonction droite tend à s'améliorer après réduction de l'IT [8,10]. Cette attitude est encore renforcée par la mortalité opératoire élevée (10-25%) en cas de réintervention ultérieure pour corriger l'IT persistente [26].
Indications
Indications
Les indications actuellement reconnues pour intervenir sur la tricuspide sont les suivantes [3,5,11,19,23,26,28,30].
- IT sévère symptomatique d’origine organique ou fonctionnelle ne répondant pas au traitement médical;
- IT primaire sévère même asymptomatique avec dilatation du VD (diamètre basal > 4.0 cm en vue 4-cavités) et signes de dysfonction droite progressive (TAPSE < 15 mm, vélocité S' < 9.5 cm/s, déformation systolique longitudinale < -20%, indice de Tei > 0.45);
- IT primaire ou secondaire sévère chez les malades requérant une chirurgie valvulaire gauche;
- IT modérée ou sévère avec dilatation annulaire importante (diamètre > 4.0 cm en 4-cavités ou > 7.0 cm dans le champ opératoire) et/ou défaillance du VD chez les malades requérant une chirurgie sur le cœur gauche;
- IT sévère traumatique, même si asymptomatique (non en urgence).
Une plastie est préférable à un remplacement valvulaire, sauf dans les cas où les feuillets sont trop déformés ou trop restrictifs. En l’absence de pathologie gauche, une IT primaire sévère chez un patient asymptomatique est une indication opératoire en cas de dysfonction/dilatation du VD. Il est important que l'anesthésiste soit au courant de ces recommandations, car ses connaissances échocardiographiques le placent au centre des discussions peropératoires lorsqu'il s'agit de décider d'intervenir ou non sur la tricuspide au cours d'une intervention sur le cœur gauche.
Lorsqu’elle est secondaire, l’insuffisance tricuspidienne évolue parallèlement à la taille de l’anneau [15]. La mesure du diamètre de celui-ci est préférable à l’évaluation de l’IT par le jet couleur, car elle n’est pas dépendante des conditions hémodynamiques comme le sont les mesures Doppler; l'indication opératoire est un diamètre > 40 mm ou > 21 mm/m2 en vue 4-cavités [3,5,19]. L’ETO peropératoire est un guide nécessaire pour juger du mécanisme, de l’indication et du résultat de la valvuloplastie.
Chirurgie
Chirurgie
Plusieurs techniques de correction sont à disposition de l’opérateur (Figure 11.61 et Figure 11.159) (Vidéos) [26].
- Annuloplastie par sutures de rétrécissement le long de l'insertion des feuillets antérieur et postérieur (plastie selon DeVega).
- Plicature de l'anneau dans sa partie postérieure, qui oblitère complètement le feuillet postérieur et transforme la tricuspide en valve à deux feuillets (bicuspidisation selon Kay).
- Plastie par insertion d'un anneau semi-rigide (Carpentier) ou d'un anneau reproduisant la forme en selle (MC3); cet anneau est interrompu au niveau septal pour éviter les lésions du noeud auriculo-ventriculaire et du faisceau de His.
- Suture commune de l'extrémité des 3 feuillets transformant la valve en une forme de trèfle à 3 feuilles en diastole (analogue à la technique d'Alfieri pour la mitrale).
- Réimplantation de cordages en cas de rupture ; résection de prolapsus.
Vidéo: Résultat d'une plastie tricuspidienne après une rupture traumatique des cordages du feuillet antérieur; absence de fuite résiduelle et d'effet restrictif sur le flux diastolique (en bleu).
Vidéo: Résultat d'une plastie tricuspidienne pour basculement du feuillet postérieur sur maladie de Barlow; fuite résiduelle minime.
- Remplacement de la valve par une prothèse ; on implante une bioprothèses plutôt qu’une prothèse mécanique car leur survie est identique. En effet, le stress est moins important dans le cœur droit que dans le cœur gauche, raison pour laquelle les bioprothèses ont une durée de vie plus longue en position tricuspidienne qu’en position mitrale ou aortique [9,13]. D’autre part, les prothèses mécaniques ont un taux de thrombose beaucoup plus élevé parce que le flux est lent à cause du régime de pression très basse.
- Chez les malades qui ont un bloc de conduction, on implante une électrode épicardique en même temps que la prothèse tricuspidienne, car il sera ultérieurement impossible ou contre-indiqué de passer une électrode de pace-maker à travers celle-ci.
Figure 11.61 : Plastie tricuspidienne vue par une atriotomie de l’OD comme elle se présente dans le champ opératoire. A: annuloplastie postérieure. B: bicuspidalisation selon Kay. C : plastie selon De Vega ; des points coulissants sont disposés sur l’anneau, de la commissure antéro-septale à la commissure postéro-septale ; ils permettent de le rétrécir à volonté en le calibrant avec une jauge 27 [22]. D : anneau prothétique tricuspidien ; il est interrompu au niveau du septum pour éviter de léser les voies de conduction lors de sa mise en place [Savage RM, ed. Intraoperative transesophageal echocardiography. Philadelphia : Lippincott Williams & Wilkins, 2005, 440]. NAV : nœud atrio-ventriculaire. SC : sinus coronaire. A : feuillet antérieur. P : feuillet postérieur. S : feuillet septal.
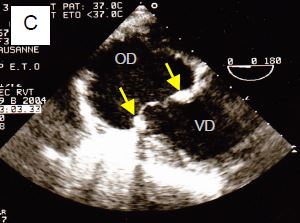
Figure 11.159 : Chirurgie de la valve tricuspide. A : IT résiduelle mineure après une plastie selon De Vega pour RAA ; la valve mitrale a été remplacée par une prothèse mécanique (flèche jaune). B : anneau de Carpentier (flèche jaune) et réimplantation de cordage (flèche verte) pour rutpture traumatique du feuillet antérieur (même cas que Figure 11.117A et 117B). C : remplacement de la tricuspide par une bioprothèse, dont voit bien l’anneau (flèches) et deux feuillets.
Lorsqu'elle est simultanée à une chirurgie sur le cœur gauche, la réparation tricuspidienne se fait au cours du réchauffement de CEC, après le déclampage aortique. Pour une intervention isolée sur la tricuspide, la voie d'abord est par sternotomie ou par mini-thoracotomie droite. L'opération a lieu en CEC, le plus souvent à cœur battant (pour autant qu'il n'y ait pas de FOP) [3].
Résultats
Après correction, le gradient moyen à travers la tricuspide doit rester < 3 mmHg [12]. Le taux d’échec moyen des plasties est de 14% [22]. Les éléments prédicteurs d'un échec sont essentiellement ceux qui caractérisent la dilatation préopératoire du VD: diamètre basal télédiastolique > 4.2 cm, diamètre basal télésystolique > 3.7 cm, largeur maximale > 4.9 cm [17]. Les résultats fonctionnels sont meilleurs (85% des cas sans reprise à 10 ans) et la survie à 15 ans doublée avec une annuloplastie par rapport à une plastie selon De Vega [25]. Mais la plastie est toujours préférable au remplacement valvulaire tricuspidien (RVT), car les résultats de ce dernier sont inférieurs : taux d’insuffisance droite postopératoire plus élevé (28% versus 9%), mortalité augmentée (11% versus 4-7%), anticoagulation, risque de thrombose (1%/an) [24,25,29]. La prothèse représente un élément mécanique rigide qui bloque la contraction circulaire de la base du VD et limite sa contraction longitudinale [22]. De ce fait, le RVT est habituellement accompagné d'une défaillance du VD réclamant un soutien inotrope adéquat. Or la dysfonction ventriculaire droite est le déterminant majeur de la mortalité postopératoire ; elle a davantage de poids que l’hypertension pulmonaire [23].
Les critères de réussite d’une plastie sont plus souples qu’après une correction mitrale, car une fuite résiduelle est bien tolérée [4,14,16,25] :
Les critères de réussite d’une plastie sont plus souples qu’après une correction mitrale, car une fuite résiduelle est bien tolérée [4,14,16,25] :
- IT résiduelle mineure;
- Gradient max < 4 mmHg;
- Vena contracta < 0.3 cm;
- Absence de PISA et de reflux systolique dans la VCI et les veines sus-hépatiques.
Après la correction d’une IT, il faut s'attendre à des suites immédiates difficiles, car le VD rencontre les RAP comme entière postcharge et ne bénéficie plus de la soupape de pression que représentait la fuite tricuspidienne. De plus, tout système mécanique bloque le subtil équilibre entre la contraction circulaire et la contraction longitudinale du VD, cette dernière étant la principale responsable de l'éjection dans l'AP. La défaillance droite est courante, et nécessite l'utilisation immédiate de catécholamines béta (dobutamine), d’inodilatateurs (milrinone, levosimendan) et de vasodilatateurs pulmonaires, ainsi que de nor-adrénaline pour maintenir la perfusion coronaire et l'équilibre du septum interventriculaire (voir Tableau 12.6 et Tableau 12.11).
Le traitement chirurgical de l’endocardite bactérienne aiguë que l’on rencontre chez les toxicomanes consiste en une ablation de la valve. Il est parfois recommandé de ne pas implanter immédiatement de prothèse valvulaire dans ce milieu septique. L’hémodynamique est alors analogue à celle d’un Fontan: le remplissage du VD est passif et dépend uniquement de la PVC, qui doit rester haute; la ventilation spontanée est l’idéal pour assurer le débit pulmonaire [1]. Dans un deuxième temps (6-9 mois), la tricuspide peut être remplacée par une prothèse.
Interventions percutanées
Le traitement chirurgical de l’endocardite bactérienne aiguë que l’on rencontre chez les toxicomanes consiste en une ablation de la valve. Il est parfois recommandé de ne pas implanter immédiatement de prothèse valvulaire dans ce milieu septique. L’hémodynamique est alors analogue à celle d’un Fontan: le remplissage du VD est passif et dépend uniquement de la PVC, qui doit rester haute; la ventilation spontanée est l’idéal pour assurer le débit pulmonaire [1]. Dans un deuxième temps (6-9 mois), la tricuspide peut être remplacée par une prothèse.
Interventions percutanées
Face à la lourde morbi-mortalité de la chirurgie tricuspidienne en CEC chez les malades à risque, toute une série de techniques percutanées par transcathétérisme s'est développée ces dernières années [2,3,21].
- MitraClip™: le dispositif utilisé pour la valve mitrale est transposable à la tricuspide; le taux de succès est de 80% [6].
- Tric Valve™: implantation de bioprothèse valvulaire (type TAVI) au collet des veines caves à leur entrée dans l'OD; cette technique prévient le reflux cave, mais non la surcharge et la dilatation du VD et de l'OD.
- FORMA™: ballon rempli de mousse (polymère) monté sur une tige ancrée à l'apex du VD et placé au centre la valve tricuspide; il comble l'orifice de régurgitation en systole, les feuillets viennent s'y appuyer et la valve est étanchéifiée.
- Triclip™: l'utilisation d'un MitraClip permet une bicuspidisation de la tricuspide au niveau de la commissure antéro-septale et/ou postéro-septale et une réduction de la fuite.
- Trialign™: l'anneau est rétréci par traction entre deux points d'ancrage (pledgets) aux commissures antéro-postérieure et septo-postérieure, ce qui réalise une plicature du feuillet postérieur.
- TriCinch™: traction par une bande de Dacron entre la région antéro-postérieure de l'anneau et un stent implanté dans la veine cave inférieure; l'anneau est ensuite cintré à la demande.
- Millipede IRIS™: un anneau complet ajustable en nitinol est placé à l'intérieur de l'anneau tricuspidien auquel il est fixé par micro-vissage et ensuite rétréci à la taille désirée.
Deux systèmes différents d'implantation de prothèse valvulaire ont été conçus jusqu'ici.
- TricValve™ (déjà mentionnée ci-dessus): bioprothèse auto-expansible en nitinol avec valvules en péricarde placée dans la veine cave inférieure entre l'OD et l'abouchement des veines sus-hépatiques; le but est d'empêcher le reflux systolique dans la VCI et la stase associée dans les viscères et les membres inférieurs.
- NaviGate™: bioprothèse orthotopique en nitinol avec valvules en péricarde, munie d'ailettes pour l'ancrage au niveau de l'anneau tricuspidien; elle existe en plusieurs tailles (de 36 à 52 mm).
Ces techniques sont encore dans l'enfance, mais le taux de succès est déjà de > 75%; la mortalité hospitalière est de 3.5-5.1% [27,29]. La réduction de l'IT est moindre que par voie chirurgicale classique, mais l'amélioration du status clinique est certaine. Les malades sont placés sous aspirine à vie et sous anti-vitamine K pendant 3 mois, mais beaucoup d'entre eux sont de toute manière anticoagulés pour une FA.
Plusieurs de ces dispositifs sont implantés par voie jugulaire, qui doit rester disponible pour l'opérateur. L'examen ETO peropératoire est essentiel, ce qui justifie une anesthésie générale. L'anesthésiste-échocardiographeur a un rôle important pour aider à la mise en place de ces prothèses. Que la voie d'abord soit par la VCI ou par la VCS, l'accès à la tricuspide nécessite une manœuvre difficile dans l'OD car l'axe de la tricuspide n'est pas en ligne avec les veines caves.
| Indications opératoires de l’insuffisance tricuspidienne |
|
L’indication est fonction du degré de dilatation du VD, de l’origine et du contexte chirurgical.
- IT sévère symptomatique
- IT sévère avec dilatation annulaire (D > 4.0 cm en 4-cavités) au cours d’une intervention sur une valvulopathie gauche
- IT sévère traumatique (électif)
La plastie est aisée, mais le remplacement entraîne des suites postopératoires très difficiles. Mortalité opératoire : 1-2% pour la plastie d’accompagnement, 4-7% pour la plastie isolée, 11% pour le remplacement.
|
© CHASSOT PG, BETTEX D, Août 2011, dernière mise à jour Novembre 2019
Références
- ARBULU A, HOLMES RJ, ASFAW I. Tricuspid valvulectomy without replacement. J Thorac Cardiovasc Surg 1991; 102:917-24
- ASMARATS L, PURI R, LATIB A, et al. Transcatheter tricuspid valve interventions. J Am Coll Cardiol 2018; 71:2935-56
- ASMARATS L, TARAMASSO M, RODES-CABAU J. Tricuspid valve disease: diagnosis, prognosis and management of a rapidly evolving field. Nat Rev Cardiol 2019; 16:538-54
- BAJZER CT, STEWART WJ, COSGROVE DM, et al. Tricuspid valve surgery and intraoperative echocardiography: Factors affecting survival , clinical outcome, and echocardiographic success, J Am Coll Cardiol 1998; 32:1023:9
- BAUMGARTNER H, FALK V, BAX JJ, et al. 2017 ESC/EACTS Guidelines for the management of valvular heart disease. Eur Heart J 2017; 38:2739-86
- BESLER C, et al. Predictors of procedural and clinical outcomes in patients with symptomatic tricuspid regurgitation undergoing transcatheter edge-to-edge repair. JACC Cardiovasc Interv 2018; 11:1119-28
- BRUCE CJ, CONNOLLY HM. Right-sided valve disease deserves a little more respect. Circulation 2009; 119:2726-34
- CHIKWE J, ITAGAKI S, ANYANWU A, et al. Impact of concommittant tricuspid annuloplasty on tricuspid regurgitation, right ventricular function, and pulmonary artery hypertension after repair of mitral valve prolapse. J Am Coll Cardiol 2015; 65:1931-8
- DEL CAMPO C, SHERMAN JR. Tricuspid valve replacement: Results conmparing mechanical and biological prostheses. Ann Thorac Surg 2000; 69:1295-303
- DESAI RR, VARGAS-ABELLO MM, KLEIN AM, et al. Tricuspid regurgitation and right ventricular function after mitral valve surgery with or without concommittant tricuspid valve procedure. J Thorac Cardiovasc Surg 2013; 146:1126-32.e10
- DREYFUS GD, CORBI PJ, CHAN KM, et al. Secondary tricuspid regurgitation or dilatation: which should be the criteria for surgical repair ? Ann THorac Surg 2005; 79:127-32
- HAHN RT. State-of-the-art review of echocardiographic imaging in the evaluation and treatment of functional tricuspid regurgitation. Circ Cardiovasc Imaging 2016; 9:e005332
- KUNADIAN B, VIJAYALAKSHMI K, BALASUBRAMANIAN S, et al. Should the tricuspid valve be replaced with a mechanical or biological valve ? Interact Cardiovasc Thorac Surg 2007; 6:551-7
- KUWAKI K, MORISHITA K, TSUKAMOTO M, et al. Tricuspid valve surgery for functional tricuspid valve regurgitation associated with left-sided valvular disease. Eur J Cardiothorac Surg 2001; 20:577-8
- LANCELLOTTI P, MOURA L, AGRICOLA E, et al. European Association of Echocardiography recommendations for the assessment of valvular regurgitation. Part 2: mitral and tricuspid regurgitation (native valve disease). Eur J Echocardiogr 2010; 11:307-32
- LANCELLOTTI P, TRIBOUILLOY C, HAGENDORFF A, et al. Recommendations for the echocardiographic assessment of native valvular regurugitation: an executive summary from the EACI. Eur Heart J Cardiovasc Imaging 2013; 14:611-44
- MASLOW A, ABISSE S, PARIKH L, et al. Echocardiographic predictors of tricuspid ring annuloplasty repair failure for functional tricuspid regurgitation. J Cardiothorac Vasc Anesth 2019; 33:2624-33
- NATH J, FOSTER E, HEIDENREICH PA. Impact of tricuspid regurgitation on long-term survival. J Am Coll Cardiol 2004; 43:405-9
- NISHIMURA RA, OTTO CM, BONOW RO, et al. 2014 AHA/ACC Guideline for the management of patients with valvular heart disease. Circulation 2014; 129:e521-e643
- RAMAKRISHNA H, AUGOUSTIDES JGT, GUTSCHE JT, et al. Incidental tricuspid regurgitation in adult cardiac surgery: focus on current evidence and management options for the perioperative echocardiographer. J Cardiothorac Vasc Anesth 2014; 28:1414-20
- RODÉZ-CABAU J, HAHN RT, LATIB A, et al. Transcatheter therapies for treating tricuspid regurgitation. J Am Coll Cardiol 2016; 67:1829-45
- ROGERS JH, BOLLING SF. The tricuspid valve. Current perspective and evolving management of tricuspid regurgitation. Circulation 2009; 119:2718-25
- SHIRAN A, SAGIE A. Tricuspid regurgitation in mitral valve disease. J Am Coll Cardiol 2009; 53:401-8
- SINGH SK, TANG GH, MAGANTI MD, et al. Midterm outcomes of tricuspid valve repair versus replacement for organic tricuspid disease. Ann Thorac Surg 2006; 82:1735-41
- TANG GH, DAVID TE, SINGH SK, et al Tricuspid valve repair with an annuloplasty ring results in improved long-term outcomes. Circulation 2006; 114(suppl I):577-81
- TARAMASSO M, VANERMEN H, MAISANO F,et al. The growing clinical importance of secondary tricuspid regurgitation. J Am Coll Cardiol 2012; 59:703-10
- TARAMASSO M, et al. Outcomes after current transcatheter tricuspid valve intervention: mid-term results frome the International TriValve Registry. JACC Cardiovasc Interv 2018; 12:155-65
- VAHANIAN A, ALFIERI O, ANDREOTTI F, et al. Guidelines on the management of valvular heart disease (version 2012). The Joint Task Force on the Management of Valvular Heart Disease of the European Society of Cardiology (ESC) and the European Association for Cardio-Thoracic Surgery (EACTS). Eur Heart J 2012; 33:2451-96
- ZACK CJ, FENDER EA, CHANDRARASHEKAR P, et al. National trends and outcomes in isolated tricuspid valve surgery. J Am Coll Cardiol 2017; 70:2953-60
- ZOGHBI WA, ADAMS D, BONOW RO, et al. Recommendations for noninvasive evaluation of native valvular regurgitation: a report from the ASE developed in collaboration with the SCMR. J Am Soc Echocardiogr 2017; 30:303-71