L'endocardite infectieuse est une affection peu fréquente (prévalence 3-10/100'000/an), mais dont la mortalité reste dramatique: 20% en intra-hospitalier et 40% à un an en moyenne [3]. L'atteinte porte dans 72% des cas sur une valve native souffrant d'une pathologie dégénérative et dans 20% des cas sur une valve artificielle. Le risque d'endocardite pour ces dernières est de 0.4-0.6%/an [4]. Dans 48% des cas d'endocardite, le traitement conduit à une sanction chirurgicale dont le but est de réséquer la structure infectée, de résoudre l'insuffisance valvulaire ou la fistule, de contrôler l'infection et de prévenir les embolies. Le degré de défaillance est tel que l'intervention a souvent lieu en urgence dans les 48 heures, après ré-équilibration hémodynamique et couverture antibiotique; une fois l'indication posée, la temporisation est délétère, sauf en cas d'AVC (risque d'hémorragie intracrânienne) [2].
L’ETO a de très hautes sensibilité et spécificité pour le diagnostic de l’endocardite : 98% pour les végétations et 90-95% pour les abcès [1]. Cependant, un examen négatif n'exclut pas totalement l'endocardite. L’examen échocardiographique recherche 5 marqueurs essentiels de l’endocardite valvulaire : la végétation, l’abcès, le pseudo-anévrysme, la fistule et la déhiscence d’une prothèse. Le diagnostic différentiel avec d’autres lésions non infectieuses (tumeur, thrombus, rupture de cordage, anévrysme, lésion congénitale) est facilité par le status clinique particulier : fièvre de plusieurs jours/semaines, pétéchies, état inflammatoire, etc. Un certain nombre de pathologies prédisposent à l’endocardite.
L’ETO a de très hautes sensibilité et spécificité pour le diagnostic de l’endocardite : 98% pour les végétations et 90-95% pour les abcès [1]. Cependant, un examen négatif n'exclut pas totalement l'endocardite. L’examen échocardiographique recherche 5 marqueurs essentiels de l’endocardite valvulaire : la végétation, l’abcès, le pseudo-anévrysme, la fistule et la déhiscence d’une prothèse. Le diagnostic différentiel avec d’autres lésions non infectieuses (tumeur, thrombus, rupture de cordage, anévrysme, lésion congénitale) est facilité par le status clinique particulier : fièvre de plusieurs jours/semaines, pétéchies, état inflammatoire, etc. Un certain nombre de pathologies prédisposent à l’endocardite.
- Lésions à risque élevé (prophylaxie nécessaire):
- Matériel prosthétique;
- Jet à haute vélocité : valvulopathies accompagnées de dégénérescence tissulaire, CIV, cardiopathies congénitales cyanogènes;
- Contaminants intraveineux (drug addiction) : valvulopathie tricuspidienne;
- Lésions à risque faible (pas de prophylaxie):
- CIA, FOP, coarctation, athérome mobile;
- IM fonctionnelle, maladie de Barlow, bicuspidie aortique;
- Cathéter, sonde, pace-maker.
L’endocardite peut détruire un feuillet valvulaire en quelques jours et causer une insuffisance aiguë massive accompagnée d’une défaillance ventriculaire (Vidéo). Dans le coeur gauche, elle atteint en général des valves anormales (bicuspidie aortique, maladie de Barlow mitrale), mais elle peut se fixer sur des valves tricuspide et pulmonaire normales en cas de contamination bactérienne par voie endoveineuse (infection de cathéter, injection de drogue).
Vidéo: insuffisance aortique torrentielle sur destruction de la valve aortique par une endocardite aiguë; l'IA remplit la totalité du VG en diastole.
Végétations
Les végétations se différentient des différentes masses par cinq critères particuliers (Vidéos et Figure 26.163).
Vidéo: végétations endocarditiques sur les cuspides aortiques (ectasie de la racine aortique).
Vidéo: longue végétation située à l'extrémité de la cuspide non-coronaire de la valve aortique.
Vidéo: végétation sous forme de pannus endocarditique englobant les cuspides aortiques et la racine du feuillet mitral antérieur.
Vidéo: végétation globuleuse et excroissances filiformes sur le feuillet mitral postérieur.
Vidéo: végétation du feuillet mitral postérieur avec un long filament endocarditique très emboligène.
Vidéo: végétation sur le feuillet mitral antérieur d'une valve dont le feuillet postérieur est calcifié.
Vidéo: végétation sur le feuillet septal de la valve tricuspide.
Vidéo: insuffisance aortique torrentielle sur destruction de la valve aortique par une endocardite aiguë; l'IA remplit la totalité du VG en diastole.
Végétations
Les végétations se différentient des différentes masses par cinq critères particuliers (Vidéos et Figure 26.163).
- Elles sont attachées à la face d’amont des valves et des orifices : côté auriculaire pour les valves mitrale et tricuspide, et côté ventriculaire (chambre de chasse) pour les valves aortique et pulmonaire. Dans les prothèses mécaniques, elles sont fixées à la jonction entre l'anneau anatomique et la collerette de suture de la prothèse; dans les bioprothèses, elles sont localisées sur les feuillets, d'où perforation ou rupture.
- Elles se localisent sur les lésions de jet.
- Elles sont moyennement ou peu échogènes.
- Elles sont mobiles et se meuvent de manière indépendante des structures sur lesquelles elles sont implantées ; elles vibrent dans le flux.
- Elles sont d’aspect mou, sessiles ou pédiculées, de structure hétérogène et irrégulière ; elles sont de taille et de forme variables (masse bourgeonnante, échevelée, filament, torsade).
Vidéo: végétations endocarditiques sur les cuspides aortiques (ectasie de la racine aortique).
Vidéo: longue végétation située à l'extrémité de la cuspide non-coronaire de la valve aortique.
Vidéo: végétation sous forme de pannus endocarditique englobant les cuspides aortiques et la racine du feuillet mitral antérieur.
Vidéo: végétation globuleuse et excroissances filiformes sur le feuillet mitral postérieur.
Vidéo: végétation du feuillet mitral postérieur avec un long filament endocarditique très emboligène.
Vidéo: végétation sur le feuillet mitral antérieur d'une valve dont le feuillet postérieur est calcifié.
Vidéo: végétation sur le feuillet septal de la valve tricuspide.
Figure 26.163 : Végétations endocarditiques, toujours situées sur la face d’amont des valves. A : longues végétations sur les deux feuillets de la valve mitrale. B : végétations plus trapues sur la valve mitrale; leur aspect très irrégulier les diférencie d'un thrombus. C : végétation massive sur le feuillet postérieur de la mitrale. D : végétation filamenteuse sur le feuillet postérieur de la mitrale ; les cuspides de la valve aortique sont envahies par une prolifération endocarditique (flèche bleue). E : longue végétation sur la valve aortique, plongeant dans la chambre de chasse. F : double végétation sur la valve aortique dont les cuspides sont envahies et partiellement détruites.
L’antibiothérapie peut les faire régresser ou les stériliser ; elles deviennent alors plus échogènes et moins mobiles, et peuvent se calcifier secondairement. Elles apparaissent par ordre de fréquence sur la valve aortique, la mitrale, la tricuspide et la pulmonaire. Leur risque embolique et septique est directement lié à leur taille ; il dépasse 50% lorsqu’elles ont > 10 mm [5]. Il est aussi lié à d'autres caractéristiques: multiplicité, présence d'un long pédoncule, absence de calcification, croissance rapide [7].
Le diagnostic différentiel est parfois malaisé avec un thrombus (en général plus large et plus régulier), une rupture de cordage (valve mitrale anormale), une tumeur pédiculée (fibro-élastome), une calcification pendulaire ou des filaments de fibrine. Les végétations de l'endocardite de Libman-Sacks, qui ont une évolution cyclique, se présentent sous forme d'épaissisement verruqueux plus lisse que les bords irréguliers de l'endocardite bactérienne [6]. Toutefois, les végétations surviennent dans un contexte clinique typique d’infection systémique chronique ou aiguë qui aide au diagnostic différentiel.
Abcès
L’abcès apparaît comme une petite cavité vide d’écho au sein de l’anneau valvulaire, du feuillet ou du myocarde. Les localisations les plus fréquentes sont l’angle mitro-aortique, la partie supérieure du septum interventriculaire et le feuillet antérieur de la valve mitrale (Vidéos et Figure 26.164); ces zones sont des régions fibreuses avasculaires. En principe, l'abcès ne communique pas avec la circulation et aucun flux n’est visible dans la cavité, mais il existe parfois une communication avec l’aorte ou la chambre de chasse gauche. L’abcès peut entraîner une perforation de la structure et une fistule, en général entre l'aorte et l'OG. Dans le postopératoire immédiat d'un remplacement valvulaire aortique, le manchon de tissu inflammatoire et de thrombus qui entoure la zone opérée donne une image de bombement de la racine aortique qui peut être confondue avec un abcès; la corrélation avec l'intervention donne la clef du diagnostic. Un abcès situé sur un feuillet mitral peut se rompre secondairement et occasionner une insuffisance mitrale par la perforation.
Vidéo: vue 5-cavités d'un abcès mitro-aortique; la cavité se remplit et se vide depuis le VG.
Vidéo: vue long-axe du même abcès mitro-aortique.
Vidéo: abcès situé à la racine du feuillet mitral antérieur (vue 2-cavités 90°).
Vidéo: flux de régurgitation mitrale à travers le même abcès à la racine du feuillet antérieur.
Figure 26.164 : Abcès endocarditiques. A : abcès sur le feuillet antérieur de la valve mitrale (flèche jaune). B : abcès sous-aortique dans le septum interventriculaire, ouvert dans la chambre de chasse. C : abcès de l’angle mitro-aortique en vue long-axe, avec flux de sortie en direction de la chambre de chasse du VG. D: le même abcès en vue 4-cavités.
Pseudo-anévrysme
Le pseudo-anévrysme est une cavité pulsatile sans écho située entre l’anneau aortique et la base du feuillet antérieur de la mitrale en communication avec l’aorte. Il affiche un flux couleur ; il s’expand en systole et se vide en diastole, le plus souvent dans la chambre de chasse.
Vidéo: vue long-axe 120° de la racine aortique avec un pseudo-anévrysme du sinus de Valsalva droit.
Fistule
La fistule est une communication anormale entre deux cavités résultant de la rupture d’un abcès ou d’un pseudo-anévrysme. Elle relie le plus souvent un sinus de Valsalva avec l’OD ou l’OG (Vidéos et Figure 26.165).
Vidéo: abcès du sinus de Valsalva droit débordant dans l'OD.
Vidéo: fistule aorto-auriculaire droite à travers l'abcès du sinus de Valsalva droit.
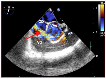
Figure 26.165 : Fistule endocarditique entre le sinus de Valsalva droit et l'OD; le jet tourbillonnaire (flèche rouge) passe de l'aorte à l'oreillette droite juste en amont du feuillet tricuspidien et réalise un important shunt gauche – droit avec surcharge des cavités droites.
Déhiscence
L’infection d’une prothèse valvulaire peut la désinsérer partiellement (lâchage de > 25% de la circonférence). Elle prend alors un mouvement de bascule avec chaque cycle cardiaque ; ce mouvement est différent de celui des structures voisines. Il se peut que l’on voie l’orifice du lâchage. Le flux Doppler couleur met en évidence une fuite paravalvulaire majeure.
Destruction valvulaire
Certains germes particulièrement agressifs peuvent conduire à une véritable destruction des feuillets, particulièrement au niveau de la valve aortique. Il s'ensuit une insuffisance aortique aiguë massive qui nécessite un RVA en urgence (Figure 26.81).
Figure 26.81 : Insuffisance aortique aiguë sur endocardite foudroyante. Le flux couleur montre que la régurgitation remplit la totalité du VG, repoussant la valve mitrale et bloquant le flux de remplissage diastolique normal. La survie de ce patient n'est pas possible sans un remplacement de sa valve en urgence.
| Endocardite |
| Végétations - Fixées sur la face amont des valves - Localisées sur les lésions de jet - Moyennement échogènes - Structure molle, mobile, hétérogène - Contexte clinique infectieux Abcès, perforation, fistule, déhiscence de prothèse |
© CHASSOT PG, BETTEX D. Octobre 2011, Juin 2019; dernière mise à jour, Mars 2020
Références
- BIRMINGHAM G, RAHKO P, BALLENTYNE F. Improved detection of infective endocarditis with transesophageal echocardiography. Am Heart J 1992; 123:774-9
- CAHILL TJ, BADDOUR LM, HABIB G, et al. Challenges in infective endocarditis. J Am Coll Cardiol 2017; 69:325-44
- CAHILL TJ, PRENDERGAST BD. Infective endocarditis. Lancet 2016; 387:882-93
- HABIB G, LANCELLOTTI P, ANTUNES MJ, et al. 2015 ESC Guidelines for the management of infective endocarditis. Eur Heart J 2015; 36:3075-123
- SANFILIPPO AJ, PICARD MH, NEWELL JB, et al. Echocardiographic assessment of patients with infectious endocarditis: prediction of risk for complication. J Am Coll Cardiol 1991; 18:1191-9
- SHROFF H, BENENSTEIN R, FREEDBERG R, et al. Mitral valve Libman-Sacks endocarditis visualized by real-time three-dimensional transesophageal echocardiography. Echocardiography 2012 29:E100-1
- THUNY F, DI SALVO G, BELLIARD O, et al. Risk of embolism and death in infective endocarditis: prognostic value of echocardiography: a prospective multicenter study. Circulation 2005; 112:69-75